BLS map
Xanthocarpia crenulatella, Caloplaca crenulatella
Xanthocarpia crenulatella (Caloplaca crenulatella)

Growth type crustose
Chemical results: Apothecia K+ red/purple

Can be frequent on flat concrete and mortar including drain covers, untreated patios and disused runways.

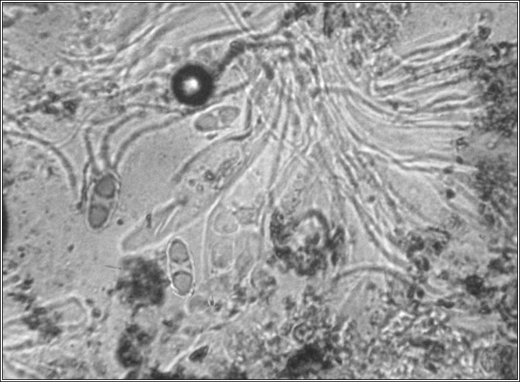
The greyish-yellow thallus is usually thin and rimose but can vary from almost absent to subsquamulose. Crowded apothecia, the yellow-orange discs with slightly paler margins. Spores 15-18 x 6.5-8.5 µm, the septum less than 1/8 spore length. Microscope photograph below.

Similar: Caloplaca flavovirescens is larger, spores with wide septum


Caloplaca crenulatella

Caloplaca crenulatella

Microscope photograph
Caloplaca crenulatella
Xanthocarpia crenulatella (Caloplaca crenulatella)
Wimborne Minster, Dorset. March 2017

All images used are copyright. Please contact me if you find errors.