BLS map
Placynthiella icmalea Trapeliaceae
Placynthiella icmalea

Growth type crustose.
Chemical results: C+ red, KC+ red (best seen under microscope)

Common on dead wood, tree stumps and damp fence posts. Also found on shaded siliceous rocks and damp, humus-rich soils.

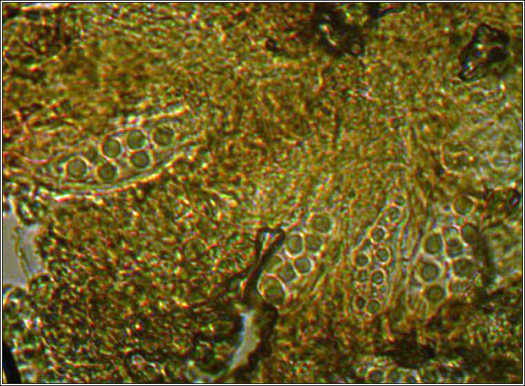
Thallus of very small brown to greyish-brown, isidiate or minutely coralloid granules. Often sterile, when present apothecia scattered, discs brown with persistent margins. Spores simple, often with oil drops, 8-12 x 4-5.5 µm. Microscope photographs below.

Similar: P uliginosa. C-. Discs pinkish to dark red-brown, spores larger


Placynthiella icmalea

Placynthiella icmalea

Placynthiella icmalea

Microscope photographs
Placynthiella icmalea

Placynthiella icmalea
Placynthiella icmalea
Holton Lee, Dorset. March 2013. Fertile: Talbot Heath, March 2015

All images used are copyright. Please contact me if you find errors.